Strahlentherapie mit geladenen Teilchen

In der Behandlung von Krebserkrankungen stellt die Radioonkologie eine wesentliche Säule der Therapieoptionen dar. Die Partikeltherapie reiht sich als komplementäre Methode und Weiterentwicklung der Hochpräzisionsradiotherapie in das Spektrum der Strahlenmedizin ein, ist jedoch im Unterschied zu anderen radioonkologischen Ressourcen in Österreich auf ein Zentrum beschränkt – das MedAustron-Ionentherapiezentrum in Wiener Neustadt. Dort werden seit Ende 2016 Krebspatient:innen aller Altersgruppen behandelt, bisher über 3.000.

Die Methode

Im Gegensatz zu Photonen, die in der konventionellen Strahlentherapie verwendet werden und aus Röntgenstrahlen bestehen, handelt es sich bei Protonen und Kohlenstoffionen um geladene, massereiche Teilchen. Protonen zeigen eine ähnliche biologische Wirksamkeit wie Photonen, bei Kohlenstoffionen ist sie höher. Die physikalischen Eigenschaften beider Teilchen sorgen für eine fast vollständige Energiedeposition direkt im Tumor, bei einer deutlich geringeren Eingangsdosis sowie einem steilen Dosisabfall hinter dem Tumor. Diese Effekte können sowohl die therapeutische Wirksamkeit als auch die lokale Tumorkontrolle und das Überleben verbessern: Die reduzierte Dosis für die nahegelegenen gesunden Organe bzw. Risikoorgane führt zu einer Minimierung der Toxizität. Bei aggressiveren, radioresistenten Tumoren bietet die Partikeltherapie die Möglichkeit einer Dosiseskalation mit dem Ziel der verbesserten Tumorkontrolle. Die Strahlenapplikation erfolgt analog zu der konventionellen Photonentherapie, fraktioniert in vielen kleinen Einzeldosen, je nach Erkrankung meist über 6 bis 8 Wochen.

Technische Besonderheiten

Ein synchrotronbasierter, ringförmiger Teilchenbeschleuniger mit 80 Metern Umfang wird bei MedAustron für die Bereitstellung der Teilchen genutzt. Er wurde in enger Kooperation mit dem CERN entwickelt und beschleunigt die Protonen oder Kohlenstoffionen auf die benötigte Geschwindigkeit bzw. Energie. Diese korrespondiert mit der Eindringtiefe der Teilchen. Zur Bestrahlung des Zielvolumens wird zudem mit aktiv energievariierender Pencil-Beam-Scanning-Technik gearbeitet. Der Teilchenbeschleuniger versorgt drei Behandlungsräume, in denen derzeit pro Tag rund 50 Bestrahlungen durchgeführt werden.

Indikationen zur Partikeltherapie

Weltweit wurden bisher schon mehr als 450.000 Patient:innen mit Protonen oder Kohlenstoffionen behandelt. Die Entscheidung zu einer Partikeltherapie ist abhängig von der Lage und Histologie des Tumors. Generell wird sie überwiegend bei Tumoren eingesetzt, die lokalisiert sind und bei denen durch lokale Tumorzellzerstörung eine Heilung oder zumindest ein langjähriges Überleben erreichbar ist. Sie kann dabei sowohl in der Primärbehandlung als auch in der Rezidivbehandlung eingesetzt werden.
Indikationen zur Partikeltherapie sind selektionierte Erkrankungen, z. B. Schädelbasistumoren, selektionierte Meningeome oder niedriggradige Hirntumoren, selektionierte HNO-Tumoren, der Großteil der Tumoren des Kindes- und Jugendalters, strahlenresistente Tumoren wie z.B. Sarkome, aber auch Tumoren in anatomischer Nahebeziehung zu kritischem Normalgewebe wie Beckentumoren und auch Leber- und Pankreastumoren. Augentumoren, insbesondere uveale Melanome, haben vor Kurzem das Behandlungsspektrum bei MedAustron erweitert. Dafür wurde ein eigenes System entwickelt, das flexibel nach Bedarf im Bestrahlungsraum auf- und abgebaut werden kann und das vor allem genauso präzise Bestrahlungen erlaubt, wie sie in darauf spezialisierten Zentren angewendet werden.
Pädiatrische Patient:innen und junge Erwachsene gelten als Patientengruppe, die von einer Protonentherapie besonders profitieren. Gewebe und Organe befinden sich im Wachstum bzw. in der Entwicklung und sind deshalb besonders strahlenempfindlich. Schon geringe Dosen können zu Wachstums- und Entwicklungsverzögerungen oder sogar -stillständen führen. Darüber hinaus ist das Risiko einer strahleninduzierten Entwicklung einer zweiten bösartigen Erkrankung Jahrzehnte später in dieser Patientengruppe sehr hoch – eine Bestrahlung mit Protonen kann dieses Risiko um etwa 50 % reduzieren. Rund 16 % aller bei MedAustron behandelten Patient:innen sind Kinder und Jugendliche.

Studien und Ergebnisse

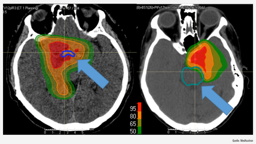
Der physikalische Vorteil von Protonen gegenüber Photonen wird auch im Bereich des ZNS und der Schädelbasis besonders tragend, da Tumoren in diesem Bereich oft in anatomischer Nahebeziehung zu kritischen, strahlensensiblen Normalgewebsstrukturen wie z. B. Hirnstamm oder zum optischen Apparat stehen (Abb.). Therapiebedingte Langzeitfolgen bei Photonenbestrahlung können neben neurologischen und/oder kognitiven Veränderungen auch die Induktion von Zweitmalignomen sein. Diese chronischen Nebenwirkungen können in einer Verminderung der Lebensqualität der individuellen Patient:innen resultieren und darüber hinaus das Gesundheitssystem erheblich belasten. In dieser Patientengruppe konnte bei MedAustron ein Jahr nach Therapie überwiegend der Erhalt der kognitiven Funktionen (z. B. visuell-motorische Koordination, Kurzzeitgedächtnis, Wortflüssigkeit etc.) beobachtet werden. Die Analysen zeigen die Reduktion von Nebenwirkungen und das Beibehalten einer hohen Lebensqualität nach der Therapie.
Neben den medizinischen Faktoren zeigen darüber hinaus auch Untersuchungen der Lebensqualität, dass sie nach Abschluss der Behandlung nicht beeinträchtigt ist.
Erkenntnisse wie diese liefert unter anderem eine Registerstudie, in die alle Patient:innen bei MedAustron eingeschlossen werden. Sie hat die systematische Erfassung von akuten Nebenwirkungen, Spätfolgen sowie der lokalen Tumorkontrolle zum Ziel, insbesondere wird auf die Erfassung der Lebensqualität (EORTC QoL) und der kognitiven Fähigkeiten (NeuroCox) Wert gelegt. Darüber hinaus sind auch einige indikationsspezifische klinische Studien für z. B. Pankreaskarzinome, Sarkome, Chordome oder verschiedene ZNS-Tumoren aktiv.

Abb.: links: Isodosenverteilung in Prozent einer Meningeombestrahlung mit Protonen mit Reduktion der Dosis am Chiasma (blau); rechts: Isodosenverteilung in Prozent einer Chordombestrahlung mit Reduktion am Hirnstamm (grün)