Fortbildung, Informationen und Service für niedergelassene Ärzt:innen
Fortbildung, Service und beratungsrelevante Informationen für die Tara
Special-Interest-Medium für hämatologisch und onkologisch tätige Pflegepersonen
Hot Topics der Diabetologie interdisziplinär und praxisbezogen aufgearbeitet
„Die“ rheumatologische Fachzeitschrift Österreichs zu State of the Art, Wissenschaft und Forschung + jede Ausgabe mit DFP-Beitrag
Fachmagazin zur Frauenheilkunde für Kliniker:innen und Niedergelassene
Offizielles Organ der Österreichischen Gesellschaft für Nephrologie (ÖGN)
Offizielle Fachzeitschrift der Österreichischen Gesellschaft für Neurologie (ÖGN)
Das Branchenmagazin für Führungskräfte und Entscheidungsträger der pharmazeutischen Industrie
Facettenreiche Dermatologie: chronisch entzündlich, infektiös, onkologisch & mehr
Aus der Forschung in die Praxis: Die Welt der Onkologie mit ihren vielen Gesichtern
Pathologie als Weichensteller: Der präzise Blick für die exakte Diagnose
Am Ball bleiben auf einem breiten Themenfeld der Uro(onko)logie
Fokusbezogene, aktuelle Themen aus Psychiatrie & psychotherapeutischer Medizin
Streifzug durch die Innere Medizin im offiziellen Medium der ÖGIM
Fortbildung, Information und Service für Zahnmediziner:innen
Die Website für Diplomfortbildung: aktuell und multimedial
digitale Fortbildungs-Plattform für Apotheker:innen
DFP-approbierte onkologische Fortbildung für Smartphone und Desktop
Eine Plattform mit dem Ziel, regelmäßig neue und relevante wissenschaftliche Studien zum Thema atopische Erkrankungen bereitzustellen
CAR-T-Zellen als Game Changer - kuratives Potential auf hohem Niveau
Wissenschaftliche Evidenz und Empfehlungen aus der klinischen Praxis werden anhand eines konkreten Fallbeispiels vermittelt.
Expert:innen berichten Studienhighlights von (inter)nationalen Kongressen via Newsletter
Zielgerichtete Therapie chronisch entzündlicher Dermatosen
Das neue Portal für die Medizin der Zukunft
5 Fragen zu einem Thema werden von 5 Fachexpert:innen beantwortet. Zusammengefasst und kommentiert von einem/einer zusätzlichen Experten/Expertin.
Die crossmediale Kombination: komprimierte Key Messages einer Studie plus Infografiken und Animationen
Themenchannels mit Qualitätscontent on Demand
Fachmedium für die bestmögliche onkologische Patientenversorgung
Die Website für zielgerichtete Therapien in Hämatologie und Onkologie
Die Plattform für Jungmediziner:innen
Gezielte Information über Produkte, Services für Gesundheitspersonal oder die breite Öffentlichkeit
Das Newsportal für Medizin und Gesundheitspolitik
Das Newsportal für Pharmazie und Gesundheitspolitik
Studien durch Animationsvideos leicht verständlich gemacht
Single-sponsored, monothematische Focus-Website
Fachbücher mit Fokus Gesundheit verfasst für ein breites Publikum
Leicht verständliche und wissenschaftlich fundierte Broschüren
Journal der Österreichischen MS-Gesellschaft
Fachzeitschrift für Multiple Sklerose
Alle relevanten Informationen zu einer Indikation, zusammengefasst strukturiert und im handlichen Format
Hier finden sie APPs für medizinisches Fachpersonal supported by MedMedia
Alle Rheuma-, Nephro sowie Neurologie-Reports
Leistungsbeschreibung und Preise zu unseren MedMedia-Produkten für Print und Digital
Das MedMedia Team: über 60 Mitarbeiter:innen mit medizinischer und pharmakologischer Fachkompetenz
Werde Teil von unserem Team. Erfahre mehr über die Fima und Jobs bei MedMedia
MedMedia Verlag und Mediaservice GmbH
Abonnieren sie hier Fachmagazine passend zu ihren Interessen oder Fachgebieten
Melden sie sich hier für die Newsletter passend zu ihren Interessen oder Fachgebieten an
Ich habe noch kein Benutzerkonto und möchte mich kostenlos registrieren.
Erscheinungsdatum:1.10.2025
Mediadaten »
Inhaltsverzeichnis »
Die klinische Pathologie und Molekularpathologie gehört heute zusammen mit der Radiologie und der Labormedizin zu den großen zentralen diagnostischen Fächern der modernen Medizin, ohne...
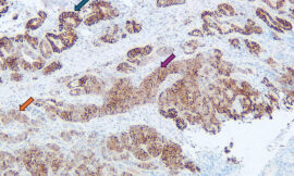
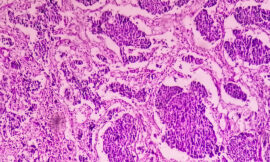
Die primäre Diagnosestellung des Urothelkarzinoms erfolgt nach wie vor durch die konventionelle histopathologische Untersuchung. Molekularpathologische Untersuchungen beim Urothelkarzinom...
ESR1-Mutationen stellen einen unter der endokrinen Therapie erworbenen Resistenzmechanismus dar. Der Nachweis von ESR1-Mutationen ermöglicht eine gezielte Behandlung, beispielsweise mit...
Etablierung von HER2 (Human Epidermal Growth Factor Receptor 2) als Zielstruktur für personalisierte Therapien. Standardisierte Bestimmung des HER2-Status als entscheidendes Kriterium für...
Die molekulare Klassifikation des Endometriums ist zeitgemäß, therapeutisch relevant und wird von internationalen Fachgesellschaften empfohlen. Für alle nicht-muzinösen Ovarialkarzinome...
Aktuell klinisch relevante Biomarker beim Magenkarzinom und Adenokarzinom des gastroösophagealen Übergangs sind: HER2, Testen auf Mikrosatelliteninstabilität (MSI) bzw....
Von der Morphologie zum Molekül: Die Pathologie liefert präzise Subtypisierung, neue immunhistochemische Marker und molekulare Einblicke für Diagnose, Therapie und Monitoring von...
Dünnschichtzytologie (LBC) verbessert die diagnostische Qualität des Zervixkarzinom-Screenings. Der Einsatz künstlicher Intelligenz (KI) in der Dünnschichtzytologie steigert die...
Pädiatrische Lymphome sind aufgrund ihrer genetischen und prognostischen Charakteristika als eigenständige Tumorentitäten zu werten, wenngleich sie morphologische Ähnlichkeiten mit...
Molekulare Methoden helfen in der Therapieentscheidung des Melanoms und in der Diagnostik unklarer melanozytärer Läsionen. BRAF V600 ist derzeit der einzige etablierte Biomarker für eine...
Univ.-Prof. Dr. Dr. h.c. Christoph Zielinski, ärztlicher Leiter der Wiener Privatklinik, spricht im Interview mit SPECTRUM Pathologie über zentrale Aspekte, die seit Einführung der...
Biomarker-Analysen in Adenokarzinomen des gastroösophagealen Übergangs und des Magens umfassen aktuell HER2, PD-L1, MMR und Claudin 18.2. FGFR2bist ein neuer prädiktiver Biomarker: Der...
Liquid Biopsy revolutioniert die molekularpathologische Diagnostik: Die Liquid Biopsy ermöglicht eine nicht-invasive Analyse von Tumor-DNA aus Blut und anderen Körperflüssigkeiten. Sie...
Die Registrierung auf dieser Seite ist nur mit den Daten, die Sie bei der ÖÄK hinterlegt haben, möglich. Sollten Sie diese nicht mehr wissen, wenden Sie sich bitte an die ÖÄK.
Vielen Dank, Ihre Registrierung ist abgeschlossen, sie sind automatisch eingeloggt.