Fortbildung, Informationen und Service für niedergelassene Ärzt:innen
Fortbildung, Service und beratungsrelevante Informationen für die Tara
Special-Interest-Medium für hämatologisch und onkologisch tätige Pflegepersonen
Hot Topics der Diabetologie interdisziplinär und praxisbezogen aufgearbeitet
„Die“ rheumatologische Fachzeitschrift Österreichs zu State of the Art, Wissenschaft und Forschung + jede Ausgabe mit DFP-Beitrag
Fachmagazin zur Frauenheilkunde für Kliniker:innen und Niedergelassene
Offizielles Organ der Österreichischen Gesellschaft für Nephrologie (ÖGN)
Offizielle Fachzeitschrift der Österreichischen Gesellschaft für Neurologie (ÖGN)
Das Branchenmagazin für Führungskräfte und Entscheidungsträger der pharmazeutischen Industrie
Facettenreiche Dermatologie: chronisch entzündlich, infektiös, onkologisch & mehr
Aus der Forschung in die Praxis: Die Welt der Onkologie mit ihren vielen Gesichtern
Pathologie als Weichensteller: Der präzise Blick für die exakte Diagnose
Am Ball bleiben auf einem breiten Themenfeld der Uro(onko)logie
Fokusbezogene, aktuelle Themen aus Psychiatrie & psychotherapeutischer Medizin
Streifzug durch die Innere Medizin im offiziellen Medium der ÖGIM
Fortbildung, Information und Service für Zahnmediziner:innen
Die Website für Diplomfortbildung: aktuell und multimedial
digitale Fortbildungs-Plattform für Apotheker:innen
DFP-approbierte onkologische Fortbildung für Smartphone und Desktop
Eine Plattform mit dem Ziel, regelmäßig neue und relevante wissenschaftliche Studien zum Thema atopische Erkrankungen bereitzustellen
CAR-T-Zellen als Game Changer - kuratives Potential auf hohem Niveau
Wissenschaftliche Evidenz und Empfehlungen aus der klinischen Praxis werden anhand eines konkreten Fallbeispiels vermittelt.
Expert:innen berichten Studienhighlights von (inter)nationalen Kongressen via Newsletter
Zielgerichtete Therapie chronisch entzündlicher Dermatosen
Das neue Portal für die Medizin der Zukunft
5 Fragen zu einem Thema werden von 5 Fachexpert:innen beantwortet. Zusammengefasst und kommentiert von einem/einer zusätzlichen Experten/Expertin.
Die crossmediale Kombination: komprimierte Key Messages einer Studie plus Infografiken und Animationen
Themenchannels mit Qualitätscontent on Demand
Fachmedium für die bestmögliche onkologische Patientenversorgung
Die Website für zielgerichtete Therapien in Hämatologie und Onkologie
Die Plattform für Jungmediziner:innen
Gezielte Information über Produkte, Services für Gesundheitspersonal oder die breite Öffentlichkeit
Das Newsportal für Medizin und Gesundheitspolitik
Das Newsportal für Pharmazie und Gesundheitspolitik
Studien durch Animationsvideos leicht verständlich gemacht
Single-sponsored, monothematische Focus-Website
Fachbücher mit Fokus Gesundheit verfasst für ein breites Publikum
Leicht verständliche und wissenschaftlich fundierte Broschüren
Journal der Österreichischen MS-Gesellschaft
Fachzeitschrift für Multiple Sklerose
Alle relevanten Informationen zu einer Indikation, zusammengefasst strukturiert und im handlichen Format
Hier finden sie APPs für medizinisches Fachpersonal supported by MedMedia
Alle Rheuma-, Nephro sowie Neurologie-Reports
Leistungsbeschreibung und Preise zu unseren MedMedia-Produkten für Print und Digital
Das MedMedia Team: über 60 Mitarbeiter:innen mit medizinischer und pharmakologischer Fachkompetenz
Werde Teil von unserem Team. Erfahre mehr über die Fima und Jobs bei MedMedia
MedMedia Verlag und Mediaservice GmbH
Abonnieren sie hier Fachmagazine passend zu ihren Interessen oder Fachgebieten
Melden sie sich hier für die Newsletter passend zu ihren Interessen oder Fachgebieten an
Ich habe noch kein Benutzerkonto und möchte mich kostenlos registrieren.
Erscheinungsdatum:16.9.2022
Mediadaten »
Inhaltsverzeichnis »
Herausgeber:Österreichische Gesellschaft für Pathologie
Der Titel mag für manche Kolleg:innen provokant klingen, sie werden natürlich einwenden, dass wir bereits seit Jahrzehnten die fachliche Spezialisierung in unserem Fach berücksichtigen und vorantreiben. Diese Spezialisierung findet international seit Jahrzehnten ihren Niederschlag in den Klassifikationen von Erkrankungen durch Gesellschaften wie der WHO, UICC, AJCC und in den einschlägigen Handbüchern....
Das therapeutische Armamentarium beim Prostatakarzinom gliedert sich in die Behandlung der lokal begrenzten und fortgeschrittenen Form, die Rezidivtherapie nach lokaler Behandlung sowie in...
Bei ca. 20 % aller Patienten mit metastasiertem Prostatakarzinom findet sich eine somatische oder Keimbahnalteration in den Genen für BRCA1, BRCA2 oder ATM, wodurch eine zielgerichtete...
Vollständigkeit und Standardisierung von Pathologieberichten werden durch synoptische Berichte unterstützt. Das College of American Pathologists (CAP) und die International Collaboration...
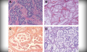
Kribriforme und intraduktale Wachstumsmuster des Prostatakarzinoms müssen im Befund angegeben werden und können Zusatzuntersuchungen erfordern. Mehr Studien sind notwendig, um diese Muster zur Stratifizierung von Intermediate-Risk-Patienten heranzuziehen.
Die häufigste Form des Prostatakarzinoms ist das azinäre Prostatakarzinom, wobei basierend auf morphologischen Unterschieden multiple Subtypen mit klinisch prognostischer und...
Eine Knochenbiopsie („Jamshidi-Zylinder“) ist unerlässlich für die Diagnose myeloproliferativer Neoplasien. Die Standardisierung des Befundes ist wichtig, da oft Vergleiche mit...
KSHV/HHV-8-positive Lymphoproliferationen sind selten, vielgestaltig und praktisch immer mit Immunsuppression vergesellschaftet. Die Immunhistochemie gegen das KSHV/HHV-8-kodierte LANA-Protein ist das wichtigste diagnostische Werkzeug.
Insbesondere sogenannte fortgeschrittene systemische Mastozytosen (advanced SM, AdvSM) stellen eine extreme diagnostische Herausforderung für die Hämatopathologie dar und sind nur unter...
Die neue WHO-Klassifikation der Hirntumoren setzt den Schwerpunkt auf molekulare Diagnostik, kombiniert mit der klassischen histologischen Untersuchung. Next Generation Sequencing und Methylierungsuntersuchungen werden zukünftig das diagnostische Repertoire dominieren.
Die Registrierung auf dieser Seite ist nur mit den Daten, die Sie bei der ÖÄK hinterlegt haben, möglich. Sollten Sie diese nicht mehr wissen, wenden Sie sich bitte an die ÖÄK.
Vielen Dank, Ihre Registrierung ist abgeschlossen, sie sind automatisch eingeloggt.