Fortbildung, Informationen und Service für niedergelassene Ärzt:innen
Fortbildung, Service und beratungsrelevante Informationen für die Tara
Special-Interest-Medium für hämatologisch und onkologisch tätige Pflegepersonen
Hot Topics der Diabetologie interdisziplinär und praxisbezogen aufgearbeitet
„Die“ rheumatologische Fachzeitschrift Österreichs zu State of the Art, Wissenschaft und Forschung + jede Ausgabe mit DFP-Beitrag
Fachmagazin zur Frauenheilkunde für Kliniker:innen und Niedergelassene
Offizielles Organ der Österreichischen Gesellschaft für Nephrologie (ÖGN)
Offizielle Fachzeitschrift der Österreichischen Gesellschaft für Neurologie (ÖGN)
Das Branchenmagazin für Führungskräfte und Entscheidungsträger der pharmazeutischen Industrie
Facettenreiche Dermatologie: chronisch entzündlich, infektiös, onkologisch & mehr
Aus der Forschung in die Praxis: Die Welt der Onkologie mit ihren vielen Gesichtern
Pathologie als Weichensteller: Der präzise Blick für die exakte Diagnose
Am Ball bleiben auf einem breiten Themenfeld der Uro(onko)logie
Fokusbezogene, aktuelle Themen aus Psychiatrie & psychotherapeutischer Medizin
Streifzug durch die Innere Medizin im offiziellen Medium der ÖGIM
Fortbildung, Information und Service für Zahnmediziner:innen
Die Website für Diplomfortbildung: aktuell und multimedial
digitale Fortbildungs-Plattform für Apotheker:innen
DFP-approbierte onkologische Fortbildung für Smartphone und Desktop
Eine Plattform mit dem Ziel, regelmäßig neue und relevante wissenschaftliche Studien zum Thema atopische Erkrankungen bereitzustellen
CAR-T-Zellen als Game Changer - kuratives Potential auf hohem Niveau
Wissenschaftliche Evidenz und Empfehlungen aus der klinischen Praxis werden anhand eines konkreten Fallbeispiels vermittelt.
Expert:innen berichten Studienhighlights von (inter)nationalen Kongressen via Newsletter
Zielgerichtete Therapie chronisch entzündlicher Dermatosen
Das neue Portal für die Medizin der Zukunft
5 Fragen zu einem Thema werden von 5 Fachexpert:innen beantwortet. Zusammengefasst und kommentiert von einem/einer zusätzlichen Experten/Expertin.
Die crossmediale Kombination: komprimierte Key Messages einer Studie plus Infografiken und Animationen
Themenchannels mit Qualitätscontent on Demand
Fachmedium für die bestmögliche onkologische Patientenversorgung
Die Website für zielgerichtete Therapien in Hämatologie und Onkologie
Die Plattform für Jungmediziner:innen
Gezielte Information über Produkte, Services für Gesundheitspersonal oder die breite Öffentlichkeit
Das Newsportal für Medizin und Gesundheitspolitik
Das Newsportal für Pharmazie und Gesundheitspolitik
Studien durch Animationsvideos leicht verständlich gemacht
Single-sponsored, monothematische Focus-Website
Fachbücher mit Fokus Gesundheit verfasst für ein breites Publikum
Leicht verständliche und wissenschaftlich fundierte Broschüren
Journal der Österreichischen MS-Gesellschaft
Fachzeitschrift für Multiple Sklerose
Alle relevanten Informationen zu einer Indikation, zusammengefasst strukturiert und im handlichen Format
Hier finden sie APPs für medizinisches Fachpersonal supported by MedMedia
Alle Rheuma-, Nephro sowie Neurologie-Reports
Leistungsbeschreibung und Preise zu unseren MedMedia-Produkten für Print und Digital
Das MedMedia Team: über 60 Mitarbeiter:innen mit medizinischer und pharmakologischer Fachkompetenz
Werde Teil von unserem Team. Erfahre mehr über die Fima und Jobs bei MedMedia
MedMedia Verlag und Mediaservice GmbH
Abonnieren sie hier Fachmagazine passend zu ihren Interessen oder Fachgebieten
Melden sie sich hier für die Newsletter passend zu ihren Interessen oder Fachgebieten an
Ich habe noch kein Benutzerkonto und möchte mich kostenlos registrieren.
Erscheinungsdatum:20.10.2025
Mediadaten »
Inhaltsverzeichnis »
Herausgeber:Ärztekrone VerlagsgesmbH
in Zeiten wie diesen, in denen sowohl die Republik als auch die Krankenkassen budgetäre Probleme haben, kann das Leben eines/einer Selbstständigen durchaus herausfordernd sein....
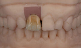
Bei älteren Patient:innen beeinflussen der intraoraler Zustand, das altersspezifische Aussehen und die finanziellen Ressourcen die Therapieoptionen. In einem aufklärenden, empathisch...
Hormonelle Veränderungen haben einen Einfluss auf die Gesundheit des Parodonts. Die orale Barrierefunktion wird durch hormonelle Dysbalancen verändert, denn ein Östrogenüberschuss kann die Barrierefunktion hemmen und somit eine entzündliche Reaktion begünstigen. Ebenso kann ein Östrogenmangel zu atrophischen Veränderungen führen und die Abwehr reduzieren.
Als eine der größten Herausforderungen der modernen Implantologie sticht die Periimplantitis, die der Literatur zufolge bei fast 20 % der behandelten Patient:innen vorkommt,...
Die Regeneration von Hartgewebe stellt in der oralen Implantologie eine zentrale Voraussetzung für eine stabile, langfristig funktionelle Versorgung sowie für die Ästhetik dar. Der...
Teil 3: Zahngesundheit zwischen 35 und 50 Jahren – Prophylaxe im besten Alter: Überlegungen für langfristigen Zahnerhalt
Wir jungen Zahnärzt:innen möchten vom Wissen der erfahrenen Kolleg:innen profitieren und hören gerne zu, wenn sehr kundige Zahnärzt:innen erzählen, was sie selbst in den letzten...
Qualitätsmanagement (QM) gehört heute in jede Zahnarztpraxis. Doch für viele Teams klingt es zunächst nach zusätzlichem Aufwand, nach Papierordnern, Checklisten und Dokumentationspflichten. Dabei steckt hinter QM weit mehr: Richtig umgesetzt ist es ein wertvolles Werkzeug, das nicht nur Sicherheit und Transparenz schafft, sondern den Praxisalltag spürbar erleichtern kann.
Teil 3: Die digitale Transformation im Gesundheitswesen verändert nicht nur klinische Prozesse, sondern auch Verwaltungs- und Logistikbereiche. In der Zahnmedizin, in der Materialkosten bereits etwa 10 % der Betriebsleistung ausmachen und rund 400 Verbrauchsmaterialien kontinuierlich vorrätig sein müssen, bekommt die Optimierung der Warenwirtschaft strategische Bedeutung.
Die Registrierung auf dieser Seite ist nur mit den Daten, die Sie bei der ÖÄK hinterlegt haben, möglich. Sollten Sie diese nicht mehr wissen, wenden Sie sich bitte an die ÖÄK.
Vielen Dank, Ihre Registrierung ist abgeschlossen, sie sind automatisch eingeloggt.